안녕하세요 다니입니다.
현재 둘째를 임신 중에 있습니다. 임신을 알게 된 순간부터 이번에는 블로그에 꾸준히 기록을 해 보자 했지만..
역시 이번에도 생각만 하다가 16주가 흘러버렸네요😫
하지만 남은 주수라도 열심히 적어보려 합니다.
계획임신부터 임신증상
일단 저는 계획임신 중이었어요. 올해가 만 35세로 노산이기 때문에 무조건 35세를 넘기지 않겠다 해서 무조건 올해 안에는
둘째를 낳을 생각이었어요ㅎㅎ (계획대로 된다는 가정하에..)
연년생은 키우기 힘들다는 얘기를 많이 들었지만 그래도 1-2년 시간이 지나서 키우는 것보다 차라리 빨리 낳아서 키우는 게 덜 힘들겠다 싶었습니다.
남편과는 첫째 돌이 지나고 둘째 시도를 해보자 얘기를 한 상태였어요..ㅎㅎ(첫째는 1월생이에요.)
계획 임신인 분들 보시면 배란기 테스트를 이용해서 배란일이 언제 인지 체크를 하시더라고요.
저는 Flo라는 생리 어플을 사용 중인데요.(유료 기능도 있지만 저는 무료로 사용 중)
출산 전부터 지금까지 꾸준히 생리시작과 끝을 어플에 기록 중이에요.
생리 기간을 기록을 하다 보면 언제쯤 생리가 시작되고 나의 배란일이 언제인지 예측해 볼 수가 있게 나오더라고요.
첫째 때도 그랬고 이번 둘째도 어플에 배란날을 보고 시도를 하게 되었습니다ㅎㅎ
그렇게 시간이 지나고 일주일 뒤..
평소보다 몸이 으슬으슬하고 피곤한 느낌도 들고 하는 게 설마 임신인가?! 싶었어요.
그런데 첫째처럼 아랫배가 콕콕하는 느낌은 없어서 긴가민가.. 너무 의식해서 그런가 싶기도 하고😅
(임테기를 빨리 해보고 싶었는데, 아니면 어쩌나 하는 마음에 생리 예정일까지 기다렸어요.)
임테기 해본 날, 4주 2일(태명 짓기)

예정일 아침 너무 궁금해서 바로 임테기를 해봤습니다.
결과는 두줄..!
두 번째이지만 얼떨떨한 마음이 들었고 바로 남편한테 카톡을 보냈습니다.
남편한테 전화 바로 전화가 왔어요.. 진짜 임신이냐면서 둘이 기뻐했네요ㅎㅎ
아직 초기라 병원에 가도 아기집은 안 보일 듯해서 일주일 뒤로 병원을 예약했어요.
그리고 어떻게 될지 모르기에.. 혹시나 하는 마음도 있었어요.
아기집 보고 심장소리 들을 때까지 들뜨지 말자 하며 마인드 컨트롤 했네요ㅎ
남편은 바로 시부모님께 전화해 말씀드렸는데, 신기하게도 시어머님께서 이번에도 태몽을 꿔주셨어요🫢
한 달 전쯤 고추꿈을 꾸셨다고ㅎㅎ 고추꿈이라니.. 과연 태몽에 맞게 아들일지 궁금했네요.
둘째 태명은 추추!
고추의 '추'를 따서 추추라고 부르기로 했어요.
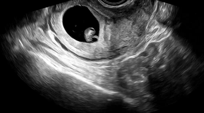
아기집 확인, 5주 1일

두근두근..!
출산하고 1년 만에 다시 찾은 병원🏥
병원에 도착해서 간단하게 상담받고 담당선생님께 갔습니다.
초기라 질초음파로 아기집을 확인했어요. (10주 이후부터 배초음파로 볼 수 있습니다)
과연 일주일 동안 아기집이 잘 생겼을지 걱정반 기대반😌
다행히 자리도 잘 잡았고 크기도 괜찮다고 하셨어요. 작은 난황도 보였네요.
이때는 입덧은 없고 임신 증상이라고 하면 조금 피곤하고 평소보다 추웠다 정도?
(아기 심장이 생기면서 입덧이 생길 수도 있다고 선생님께서 알려주셔서 마음의 준비를 하고 있었습니다ㅎ)
심장 소리 듣기, 7주 1일


2주간 병원 가는 날만 기다렸어요. 아기는 잘 크고 있는지 너무 궁금했어요.
(입덧도 없어서 조금 불안했거든요. 하지만 첫째 때도 입덧이 심하지 않았어서 이번에도 그런가 보다 하고 지냈네요.)
2주 동안 무럭무럭 자라서 조금 커진 아기집도 보이고 안에는 태아와 탯줄도 보였어요.
심장소리도 듣고 왔어요. 심장 박동수는 148 bpm 정상이라고 하셔서 잘 크고 있구나 싶어 기특했습니다.
(벌써부터 남편은 심장소리가 남자애 같다 어쩐다.. 아직 설레발은 금지)
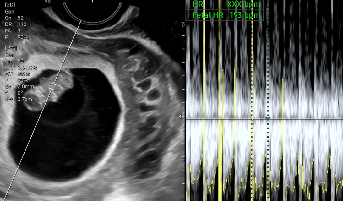
귀여운 젤리곰, 빠른 심박수 9주


시간이 안 가는 듯 빠르게 흘러 또 2주가 흘렀습니다.
제일 귀여운 형태를 볼 수 있다고 하는 9주예요. 이때 가면 젤리곰을 볼 수 있거든요😊
2주 사이에 팔이랑 다리처럼 보이는 무언가의 형태가 생겼어요. 꼬물꼬물
이제는 몸길이도 젤 수 있습니다ㅎㅎ 귀여워☺️ 이때 추추의 길이는 2.13센티네요.
심박수는 193 bpm.. 평균 심박수보다 조금 빠르다고 선생님께서 집에서 많이 쉬라고 하셨어요.
첫째랑 맨날 하원하고 놀이터에서 같이 놀다 보니 무리를 해서 그랬나 생각이 많아졌습니다.🥲
(심박수가 빠른 원인 중에 하나가 심장이나 갑상선에 문제가 있어서 그렇다 하셨는데, 저는 갑상선에 문제가 없기 때문에 갑상선 문제는 아닐 것 같다 하셨습니다.. 다음 검진 때 초음파를 보자 하셨어요.)
병원을 다녀온 주에 가족 여행이 잡혀 있었는데, 이 문제로 저만 집에서 쉬기로 했답니다.
덕분에 3박 4일 동안 푹 쉬었어요😆😆😆 얼마 만에 느껴보는 자유였던지 하하
시간이 너무 빠르게 지나가서 조금 아쉽기도 했네요ㅎㅎㅎ
추추가 걱정이 되었지만 별일 아니겠지.. 마음 편히 먹는 게 추추한테 좋을 것 같아 정말 아무 생각 없이 편하게 있었어요.
(9주에 심박수가 빠른 경우가 있나 검색해 보니 추추처럼 9주에 심박수가 빨라서 걱정이 엄마들이 많이 있더라고요.
심박수 200이 넘는데 대학병원 선생님이 괜찮다 하는 글도 많았어요.)
1차 기형아 검사, 목투명대 확인 12주


정말 빠르게 3주가 또 지나갔어요.
9주 때 추추의 심박수가 빠른 편이라 심박수가 정상대로 내려왔기를 바라며 병원을 방문했습니다.
12주는 1차 기형아 검사를 하기 때문에 바로 담당 선생님을 찾아뵙지 않고, 따로 검사실로 먼저 갔습니다.
저번에는 젤리곰의 형태를 하고 있었는데, 이제 얼추 사람의 형태를 보이고 있어요.
입체 초음파도 보고 심박수도 173 bpm으로 확인!
다행히 심박수가 떨어졌어요. 정상 범위로 돌아왔답니다.
목투명대도 1.14센티로 정상이었어요.
저는 올해 만 35세로 노산인데요. 그래서 담당 선생님께서 니프티 얘기도 하셨지만..
현재 정상적으로 잘 크고 있고, 콧대 좋고, 목투명대도 안정 범위라 따로 니프티는 하지 않고 일반 검사로 진행했어요.
(매번 병원 방문할 때마다 채혈하는 게 너무 무서워요😂)
성별확인을 할 수 있는 16주

이번에는 한 달 뒤 병원을 방문했습니다.
저번보다 훌쩍 커있는 추추의 모습! 골격이 더 명확해진 것 같았어요.
그리고 너무 꽉 껴있는 것 같아 양수가 부족해서 그런 건지 여쭤보니 양수도 정상이고 괜찮다고 이 시기에는 이런 모습이라고 하더라고요.
이제는 몸길이뿐 아니라 머리, 배둘레, 팔, 다리 길이까지 잴 수 있을 정도로 커버렸어요.
주수에 맞게 잘 크고 있는 모습이죠?ㅎㅎ
그리고 대망의 성별!!
성별을 확인하려고 했는데.. 글쎄 추추가 양반 다리를 하고 있어서 확인할 수가 없는 거 있죠..🥲
한 달을 기다렸건만 헛헛
따로 집 앞에 산부인과를 가서 확인해 볼까 했지만 다음 진료까지 참기로 했습니다ㅎㅎ
건강하게만 자라다오!
댓글